삐뚤었던 위 앞니, 에어라인 교정으로 위에만 교정해서 해결했어요.
- sanghadent
- 2025년 12월 5일
- 1분 분량

환자분이 평생의 컴플렉스 살고 계셨던 위 앞니를 해결하고 싶어서, 저희 치과에 오셨어요.
위 앞니 2개가 아예 안쪽으로 들어가서, 치아가 잘 보이지도 않아요. 원래 교정은 위아래 장치를 붙여서 같이 해주는게 좋지만, 아래의 치열은 다소 양호한 상황, 위 앞니만 에어라인 교정으로 해결하기로 했어요.



치열이 너무 좋지 않고, 또, 교정을 하는 입장에서 아래 앞니를 건드리지 않고, 안쪽에 있는 위 앞니를 밖으로 당겨올 때, 분명히 부딪혀서 교정이 잘 되지 않는데, 어떻게 위에만 할 수 있지?라고 생각할 수도 있습니다. 하지만, 저희 에어라인 교정으로는 가능하니까요. 에어라인의 대표장치인 미니튜브장치를 위에만 붙이고, 교정을 시작했습니다.


7주가 지났을 때의 사진인데요. 이미 안쪽에 있던 치아가 밖으로 다 나왔습니다. 에어라인 교정의 장점인 빠른 속도로 교정이 진행된거예요. 이제 세부적인 디테일을 잡기 위해, 에어라인 교정의 대표장치인 미니튜브와 투명교정을 병행해서, 치아의 배열을 예쁘게 맞춰주려고 합니다. 물론 이 환자분의 경우, 이 과정에서 1년의 기간이 소요되었지만, 이미 문제가 해결된 것이 직접 눈에 보였고, 교정과정 자체가 불편한게 크게 없으셨어서, 기다려주셨습니다.



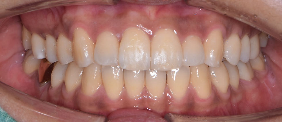
교정이 끝나고 유지장치를 붙였습니다. 치열이 많이 개선된 모습이고, 환자분도 만족하셨습니다.
위 환자분의 경우는 1년이 좀 넘게 걸렸지만, 디테일을 잡는데 시간을 많이 소요했어요. 에어라인 교정으로 할 수 있는 케이스 중에서도 이렇게 거꾸로 물리는 치열의 개선은 시간이 오래 걸립니다. 그렇지만, 아래 치아에 장치를 붙이지 않고, 위에만 교정해서, 치열의 개선을 가져오는 등 비용적으로나 불편감을 최소화하는쪽으로나 큰 장점을 가지고, 에어라인 교정을 받으셔서 많이 만족하셨어요. 그렇게 교정을 잘 마무리 할 수 있었습니다.



댓글