top of page
상하치과 노트


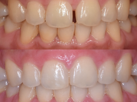
삐뚤었던 위 앞니, 에어라인 교정으로 위에만 교정해서 해결했어요.
환자분이 평생의 컴플렉스 살고 계셨던 위 앞니를 해결하고 싶어서, 저희 치과에 오셨어요. 위 앞니 2개가 아예 안쪽으로 들어가서, 치아가 잘 보이지도 않아요. 원래 교정은 위아래 장치를 붙여서 같이 해주는게 좋지만, 아래의 치열은 다소 양호한 상황, 위 앞니만 에어라인 교정으로 해결하기로 했어요. 치열이 너무 좋지 않고, 또, 교정을 하는 입장에서 아래 앞니를 건드리지 않고, 안쪽에 있는 위 앞니를 밖으로 당겨올 때, 분명히 부딪혀서 교정이 잘 되지 않는데, 어떻게 위에만 할 수 있지?라고 생각할 수도 있습니다. 하지만, 저희 에어라인 교정으로는 가능하니까요. 에어라인의 대표장치인 미니튜브장치를 위에만 붙이고, 교정을 시작했습니다. 7주가 지났을 때의 사진인데요. 이미 안쪽에 있던 치아가 밖으로 다 나왔습니다. 에어라인 교정의 장점인 빠른 속도로 교정이 진행된거예요. 이제 세부적인 디테일을 잡기 위해, 에어라인 교정의 대표장치인 미니튜브와 투명교정
2025년 12월 5일


삐뚤어진 아래 앞니 에어라인 교정으로 편안하게 교정했어요.
아래치아가 삐뚤어서 교정을 하고 싶다고 환자분이 오셨어요. 아래 앞니는 치열이 고르지 않다면, 치석이 잘 생기고, 잇몸이 붓는 일이 많이 발생합니다. 원래 교정은 위아래를 같이 해주는게 좋지만, 환자분이 아래 앞니만 교정을 하기를 원하셨어요. 아래 앞니의 치열이 좋지 않고, 위아래 앞니가 부딪히는 상황이라, 위 앞니도 같이 교정을 해주는게 좋겠지만, 환자분의 요청대로 아래 앞니만 교정을 하기로 했어요. 그래서 이렇게 아래 앞니에만, 에어라인 교정의 대표 장치인 미니튜브 장치를 붙이고, 교정을 시작했습니다. 교정을 시작한지 10주만에 아래 앞니의 배열이 많이 잡힌 상황이예요. 그렇지만, 예상대로 위 아래 앞니가 부딪히는 상황이 발생했습니다. 이런 경우에 아래 앞니를 뒤로 땡겨서 위 앞니가 아래 앞니를 조금은 덮어주는 상황을 만들어줘야했기에, 교정치료를 좀더 진행했어요. 교정기간 총 6개월이 지났고, 아래 앞니를 좀더 안쪽으로 집어넣고, 교정치료를 끝
2025년 12월 5일


에어라인 교정으로 편안하게 교정치료했어요.
환자분께서 오랫동안 미뤄왔던 교정을 하고 싶다고 오셨어요. 바로 저의 형수님이신데요. 부정교합이 심하진 않았지만, 스케일링을 할 때마다 이가 들쭉날쭉하게 배열되어있는 쪽으로 치석이 끼는 것도 좀 심하고 그래서, 교정을 하기로 했습니다. 위쪽의 치아들도 배열이 좋지는 않았지만, 특히 아래 치아의 경우 배열이 많이 좋지 않았어요. 아래 치아들이 위쪽 치아와 부딪히면서, 위의 치아가 이런 경우는 더 방치하면 덧니처럼 뻐드러지게 되는 경우가 많습니다. "앞니의 기능이 제대로 되지 않으면, 어금니쪽에도 영향이 있을 수 있다"는 사실을 환자분들은 좀 알아주셨으면 좋겠습니다. 어찌됐든 저희 에어라인 교정의 대표장치인 미니튜브장치를 붙이고, 교정을 시작했습니다. 이런 경우 교정을 할 때, 아래 치아를 생각보다 많이 뒤로 집어넣어야되요. 안그러면 아래 치아가 위의 치아를 덮는 형태가 될 수 있기 때문에, 6개월보다는 시간이 더 걸릴 수 있다는 점을 설명하였습니다.
2025년 12월 2일


노년교정도 에어라인 교정으로 가능해요.
70대 환자분이 아래 앞니의 틀어짐을 어떻게 할 수없냐고 오셨어요. 아래 앞니가 튀어나와서, 이 부분을 해결하고 싶다고 오셨어요. 아래 앞니가 틀어지면서 치아 하나가 틀어져있고, 이에 따라 위의 치아들도 조금씩 이동해서, 앞니 보철을 한 치아들이 옆의 자연치아들에 비해 살짝 밑으로 내려와있는 모습이예요. 아래 치아를 교정으로 바로 잡고, 위의 치아들은 4개의 치아를 보철치료를 통해 회복해주자고 말씀드렸어요. 위의 치아는 바로 임시치아를 만들어드렸고, 아래 치아에는 저의 에어라인 교정의 대표장치인 미니튜브장치를 붙이고, 와이어를 넣었어요. 8주정도만 지났는데도, 아래 치아의 치열 개선이 많이 이뤄졌어요. 그로부터 3개월 뒤, 총 교정기간 5개월이 채 되지 않았을 때, 교정장치를 다 떼고, 유지장치를 붙였어요. 툭 튀어나와있던 치아를 안쪽으로 집어넣었고, 아래 치아만 봤을 때도, 치열의 개선이 많이 이뤄진 모습을 볼 수 있습니다. 위에 임시치아들은 모
2025년 12월 1일


앞니 보철과 에어라인 교정을 같이 해봤어요.
위 앞니 보철을 새로 하고 싶다고 환자 분이 오셨어요. 위 앞니 보철을 새로 하고 싶다고 오셨지만, 위 앞니 보철의 모양이 이상했던 이유는 아래 치아의 배열에 맞춰서 하다보니 위 앞니 보철의 모양이 이상했다고 판단해서, 아래 치아의 에어라인 교정과 위 앞니 재보철의 필요성을 설명드렸어요. 갑자기 교정을 하라고 하니, 환자분이 3개월 뒤에 웨딩촬영이 있는데, 그 때까지 끝낼 수가 있냐고 물어보셨지만, 아마도 가능할것 같다고 해서 치료에 들어갔어요. 바로 위 앞니 보철을 뜯어내고, 임시치아를 해주었고, 아래에는 사진과 같이 에어라인 교정의 대표장치인 미니튜브 장치를 붙였어요. 정확히 3개월 뒤, 틀어져있던 아래 앞니의 배열이 잡혀서 교정을 끝냈고, 위의 임시보철은 심미적인 지르코니아 크라운으로 재보철을 해서 치료를 끝낼 수 있었어요. 웨딩촬영전까지 교정이 끝나지 않으면 어떡하지?라는 고민을 단 3개월만에 해결할 수 있어서 정말 보람이 많았던 케이스였
2025년 12월 1일


바이오라인 핀홀 잇몸수술로 길어진 치아를 젊었을때의 모습으로 회복했어요.
환자분이 잇몸이 너무 내려가서 치아가 너무 길어보인다고 고민을 하시다가 오셨어요. 실제로 잇몸이 많이 내려가있고, 치아 뿌리부분이 노출이 많이 되어있는 상황, 이 부분을 레진으로 떼워놓으셨더라고요. 환자분께 저희 바이오라인수술 중에 핀홀테크닉에 대해 설명을 드렸고, 수술을 진행하였습니다. 수술 후, 치아의 길이가 원래대로 회복을 하였고, 얇았던 잇몸도 두꺼워진 모습을 볼 수가 있어요. 치아와 잇몸이 굉장히 젊어졌고, 저와 환자분이 원하는 바이오라인으로 재생된 모습이예요. 환자분도 만족하시고, 치료를 잘 끝낼 수 있었습니다.
2025년 11월 30일


바이오라인 잇몸이식술과 심미보철로 아름다운 앞니 만든 케이스
위의 앞니가 예전에 PFM보철을 하셨는데, 세라믹이 깨져서 치료를 받고 싶다고 환자분이 오셨어요. 그런데 문제는 예전에 앞니 보철을 할때에 비해 잇몸이 많이 내려갔다는 사실이예요. 이런 경우에 새로 보철을 하면 앞니가 매우 길어지고, 보기에 안좋아요. 앞니 보철을 제거하고, 임시치아를 해줬어요. 위에서 언급한대로 치아가 너무 길어보이고, 예뻐보이지도 않습니다. 환자분께 바이오라인 잇몸이식술을 권유드렸고, 잇몸이식을 진행하기로 했어요. 잇몸이식 후에는 바로 최종보철을 할 수 없고, 임시치아를 몇번 수정하면서 치료 기간이 최장 3개월정도까지 걸릴 수 있다는 점을 같이 설명 드렸어요. 이렇게 잇몸이식을 해주고, 임시치아를 수정했어요. 최종보철을 한 치아들 뿐만 아니라, 양옆의 송곳니쪽들도 잇몸이식을 같이 해주어서, 치아의 길이가 젊었을 때의 정상적인 길이를 회복하고 있어요. 이제 기다려줍니다. 두달 정도를 기다렸고, 잇몸이 어느정도 안정이 된 모습이예요
2025년 11월 30일


에어라인 전체교정으로 완벽하게 교정한 케이스
30대 젊은 환자 분이 앞니가 틀어진 것 때문에, 교정이 하고 싶다고 오셨어요. 위아래 치열이 틀어져있고, 교정이 필요한 상황인데, 약간 아래 치아가 앞으로 나와있는 상황이라, 일단 부분교정으로 진행해보고, 안되면 전체교정을 해서 시간이 좀 소요될 수도 있다고 말씀드렸어요. 동의하에 치료에 들어갔어요. 우선은 아래쪽에만 장치를 붙이고, 아래치아들에 대한 교정을 먼저하기로 했답니다. 3달 정도가 지났고, 아래 치아들이 완벽하게는 아니지만, 거의다 배열이 되었어요. 이제 위에 장치도 같이 붙이기로 했어요. 또 다시 3개월 뒤, 위 아래 각각 3개월, 교정치료한지 6개월만에 위아래 치열은 거의다 배열끝났어요. 그런데, 위아래 치아들이 처음에 우려했던 대로 아래치아들이 앞으로 나와있어서, 위의 치아와 아래치아가 부딪히는 교합문제가 발생합니다. 이런 경우에 아래치아는 뒤로, 위의 치아는 앞으로 좀더 이동을 시켜야되는 전체교정이 필요해요. 장치를 어금니쪽까지
2025년 11월 30일


에어라인 교정으로 발치하지 않고, 교정했어요.
수능이 끝나고 대학에 가기 전에 교정을 하고 싶다고, 학생이 병원에 방문했어요. 치아들의 뻐드러짐이 심하고, 공간이 너무 부족해 보여요. 발치교정까지도 고려해야되는 상황인데, 저는 발치교정을 그다지 좋아하지 않아서, 고민이 많이 되는 케이스였어요. 환자의 나이가 아직 20살이 되지 않았기 때문에, 구개확장장치를 써서 치아가 배열될 공간을 늘려주고, 치열을 배열하면, 좀 좋아지지 않을까 싶어서, 미니튜브와 구개확장장치를 사용해서 교정을 하기로 했어요. 구개 확장장치는 이런식의 장치인데, 입천장의 넓이를 벌려서 치아가 배열이 될 공간을 만드는 장치예요. 환자는 이 장치를 5개월정도 유지하면서, 입천장의 넓이가 벌어지게 됩니다. 5개월 뒤, 미니튜브와 구개확장장치로 인해 치아가 배열이 될 충분한 공간마련과 배열이 어느정도 끝났어요. 구개확장장치를 제거했고, 위의 치아의 경우 약간 왼쪽 송곳니와 작은 어금니가 바깥쪽으로 배열된 부분이 있는데, 이건 투명교
2025년 11월 29일


에어라인 교정으로 편안하게 반대교합(거꾸로 물림) 해결했어요.
위 아래 치아 배열 때문에 고민이 있으신 환자 분이 오셨어요. 위아래 치아의 배열이 고르지 않고, 공간이 부족해보여요. 무엇보다도, 위아래 앞니 한개씩이 거꾸로 물리는게 제일 문제예요. 일단 이런 경우에는 위의 치아를 먼저 배열해서 안쪽으로 들어가있는 치아를 바깥으로 빼고, 아래쪽 교정을 들어가야되기 때문에, 보통의 간단한 에어라인 교정이 6개월정도 걸리는 비해 이런 케이스는 1년정도의 기간이 걸려요. 해당 내용을 설명하고, 교정치료에 들어갔어요. 이렇게 장치를 위에 먼저 붙였어요. 불과 10주밖에 안지났는데, 위의 안쪽으로 들어가있던 앞니가 바깥으로 나와서 아래쪽 교정을 시작했어요. 그로부터 4개월 뒤, 위 아래 치아들의 배열이 어느정도 완성이 된 모습이예요. 그런데, 위 치아 중에 안쪽에 있던 치아가 약간은 뻐드러진 느낌이 들어요. 이런 경우에는 "투명교정" 조금 해줘야 그 완성도를 높일 수가 있어서, 위의 치아의 경우 5개월 정도 투명교정을
2025년 11월 29일


에어라인 교정으로 치간이개(치아사이벌어짐) 해결했어요.
이전에 교정을 했었는데, 앞니가 벌어진다고 레진치료를 문의한 환자분이 오셨어요. 물론 이런 경우에 레진으로 치료를 해도 되겠지만, 문제는 레진으로 치료할 경우, 치아의 크기가 너무 커진다는거였어요. 그래서 교정치료를 권유했지만, 역시 교정장치 특유의 불편감이 문제라서 망설이고 계셔서, 저희 에어라인 교정을 권유했고, 환자분도 오케이하셔서, 치료에 들어가게 되었습니다. 이렇게 장치를 붙였고, 사진에는 없었지만, 파워체인이라는 고무줄을 걸어줬어요. 불과 6주 경과 후 사진인데, 공간이 많이 좁아졌어요. 고무줄만 바꾸고, 유지했어요. 또다시 한 달 후, 10주 경과 후 사진인데, 공간이 다 없어졌어요. 그런데 문제는 위아래 치아사이의 간격이 매우 긴밀하다는 거예요. 이런 경우는 교정장치를 제거 후에, 위의 치아가 다시 벌어질 수가 있어요. 그래서 아래에도 교정을 해서, 아래 치아도 좀더 안으로 집어넣기로 했어요. 위의 장치는 떼고, 아래에 장치를 새로
2025년 11월 29일


에어라인 교정, 저의 첫 케이스.
교정치료를 하면서, 어떻게 하면 교정을 빠르고, 치아에 무리가 없이 할 수 있을까를 고민하던 중, 성인교정연구회의 약력교정을 접하게 되었습니다. 대표 장치가 미니튜브 장치였는데요. 저는 그 뒤로 저의 기술력을 더해, 에어라인 교정을 만들게 되었습니다. 그 첫 케이스를 소개하려고 해요. 앞니의 배열이 고르지 않아서 고민하던 여고생이 환자로 왔는데, 브라켓 교정은 하고 싶지 않다고 해서, 고민하던 끝에, 미니튜브를 붙여서 해보기로 했어요. 저의 미니튜브 첫 케이스이며, 에어라인 교정의 첫 시작이라고 할 수 있겠어요. 2달이 지났을 때였는데, 이미 거의 배열이 끝났어요. 그런데, 아래 치아도 약간의 배열이 필요해서, 아래에도 장치를 붙이기로 했어요. 그로 부터 2달 뒤, 교정이 끝났어요. 위의 치아 2달, 아래 치아 2달, 총 4달만에 교정이 끝났어요. 환자는 사실 저희 실장님의 딸이었는데, 저도, 실장님도, 그리고 환자였던 실장님의 딸도 미니튜브를 통
2025년 11월 29일


에어라인 어려운 전체교정 케이스 이렇게 했어요.
수능이 끝나고 교정을 하고 싶다고 왔어요. 치열이 고르지 못한 상황이라서, 교정을 하고 싶다고 왔었어요. 처음에 치아 상태를 봤을 때, 공간이 많이 부족해 보여서, 에어라인 부분교정으로 가능할지는 모르겠지만, 일단 부분교정으로 치아를 배열해보고, 안되면 전체교정으로 하자고 했어요. 에어라인 교정의 특별한 장치인 미니튜브장치로 교정을 하고, 8개월 차가 되어서 배열이 거의 끝났는데도, 배열 후에도 치아의 배열이 예쁘지가 않아요. 그 이유는 공간이 부족하기 때문이기 때문에, 전체교정으로 전환하자고 했어요. 아래 어금니가 안쪽으로 쓰러져있는것을 세우기 위해, 아래에 설측장치를 넣었어요. 5개월정도 쓰러져있던 아래 어금니를 세워주면서 악궁을 확장했어요. 위의 치아들의 배열도 점차적으로 자연스럽게 배열이 되었어요. 6개월정도 장치를 유지하면서, 치아 배열과 교합을 맞춰주고, 교정을 끝냈어요. 거의 2년정도의 시간이 걸리긴했지만, 그래도 일반 교정에 비해 브
2025년 11월 29일


에어라인 교정으로 6개월만에 교정을 끝냈어요.
저희 환자 중에, 나이가 어린데도, 치열이 고르지 않아, 앞니가 닳고, 깨진 환자가 있었습니다. 그 환자의 언니가 교정을 하면서 고생을 해서 그랬는지, 교정을 본인이 원하지 않았어요. 그렇지만, 저는 교정이 필요한 케이스라고 판단하였고, 이 환자에게 6개월의 기간으로 교정치료를 아프지않고, 편안하고 빠르게 끝내주겠다고 약속을 했고, 교정치료를 시작했습니다. 교정 치료전 사진에서 볼 수 있듯이, 앞니들의 배열이 고르지 않아요. 배열이 고르지 않은 앞니들은 그 사용으로 인해, 마모되고, 깨진 모습을 볼 수 있습니다. 어금니들은 비교적 잘 물리는 부정교합의 형태예요. 3개월 뒤의 사진인데, 한창 교정중이지만, 교정 전에 비해 삐뚤었던 앞니의 배열이 많이 잡힌 모습이고, 치아의 회전된 것을 교정치료를 통해 잡다보면, 앞니사이가 일시적으로 벌어지기도 하는데, 크게 걱정할 것은 없습니다. 바로 잡을 수 있으니까요. 정확히 6개월 뒤에 교정치료를 끝내고, 유지
2025년 11월 25일


상하치과 에어라인 교정
상하치과 에어라인 교정은
2025년 10월 14일


상하치과 교정이 다른점
상하치과 교정이 다른 이유는
2025년 10월 14일
bottom of page