에어라인 교정으로 발치하지 않고, 교정했어요.
- sanghadent
- 2025년 11월 29일
- 1분 분량

수능이 끝나고 대학에 가기 전에 교정을 하고 싶다고, 학생이 병원에 방문했어요.



치아들의 뻐드러짐이 심하고, 공간이 너무 부족해 보여요. 발치교정까지도 고려해야되는 상황인데, 저는 발치교정을 그다지 좋아하지 않아서, 고민이 많이 되는 케이스였어요. 환자의 나이가 아직 20살이 되지 않았기 때문에, 구개확장장치를 써서 치아가 배열될 공간을 늘려주고, 치열을 배열하면, 좀 좋아지지 않을까 싶어서, 미니튜브와 구개확장장치를 사용해서 교정을 하기로 했어요.

구개 확장장치는 이런식의 장치인데, 입천장의 넓이를 벌려서 치아가 배열이 될 공간을 만드는 장치예요. 환자는 이 장치를 5개월정도 유지하면서, 입천장의 넓이가 벌어지게 됩니다.



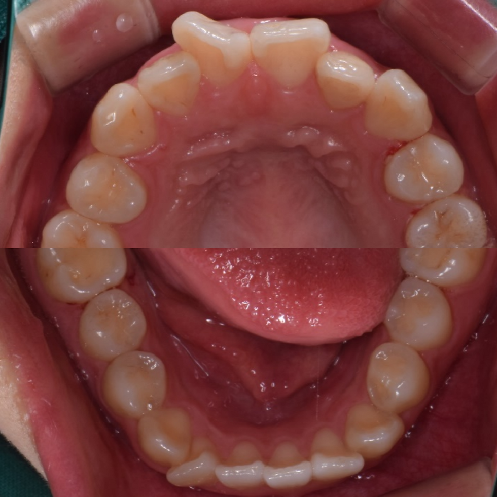
5개월 뒤, 미니튜브와 구개확장장치로 인해 치아가 배열이 될 충분한 공간마련과 배열이 어느정도 끝났어요. 구개확장장치를 제거했고, 위의 치아의 경우 약간 왼쪽 송곳니와 작은 어금니가 바깥쪽으로 배열된 부분이 있는데, 이건 투명교정으로 마무리하기로 했어요.

이런 식의 투명교정을 하면서, 아래 치아의 경우 와이어를 유지하면서, 좀더 교정의 세밀한 부분을 마무리하기로 했어요.



4개월 정도의 투명교정과 아래 교정 마무리 과정을 통해, 발치교정으로 갈 수도 있었던 케이스를 1년도 안되는 기간만에 빠르고 편안하게 끝낼 수 있었어요. 환자 분의 만족도도 최상이었고요. 빠르고 편안함, 저희 에어라인 교정의 특징이라고도 할 수 있겠습니다. 감사합니다.



댓글