에어라인 교정으로 치간이개(치아사이벌어짐) 해결했어요.
- sanghadent
- 2025년 11월 29일
- 1분 분량

이전에 교정을 했었는데, 앞니가 벌어진다고 레진치료를 문의한 환자분이 오셨어요. 물론 이런 경우에 레진으로 치료를 해도 되겠지만, 문제는 레진으로 치료할 경우, 치아의 크기가 너무 커진다는거였어요. 그래서 교정치료를 권유했지만, 역시 교정장치 특유의 불편감이 문제라서 망설이고 계셔서, 저희 에어라인 교정을 권유했고, 환자분도 오케이하셔서, 치료에 들어가게 되었습니다.

이렇게 장치를 붙였고, 사진에는 없었지만, 파워체인이라는 고무줄을 걸어줬어요.

불과 6주 경과 후 사진인데, 공간이 많이 좁아졌어요. 고무줄만 바꾸고, 유지했어요.

또다시 한 달 후, 10주 경과 후 사진인데, 공간이 다 없어졌어요.

그런데 문제는 위아래 치아사이의 간격이 매우 긴밀하다는 거예요. 이런 경우는 교정장치를 제거 후에, 위의 치아가 다시 벌어질 수가 있어요. 그래서 아래에도 교정을 해서, 아래 치아도 좀더 안으로 집어넣기로 했어요.

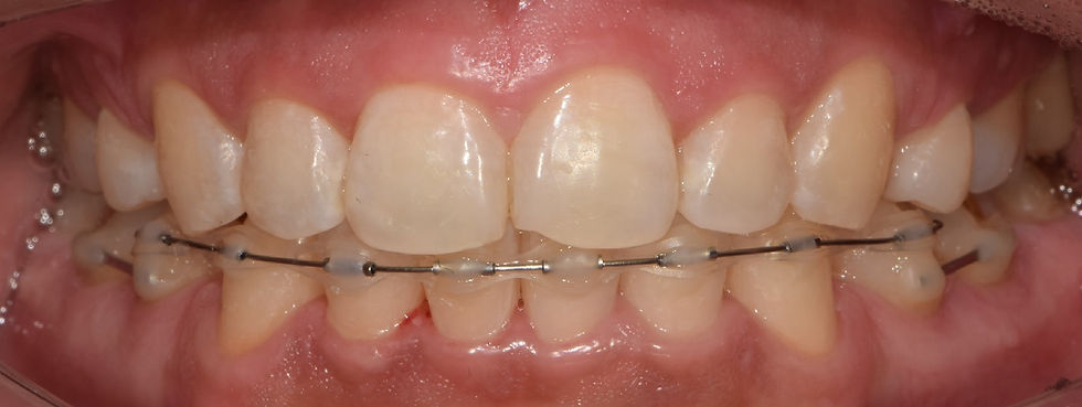
위의 장치는 떼고, 아래에 장치를 새로 붙여서 치아 사이를 다듬어서 공간을 만들고, 안쪽으로 집어넣었어요. 그리고 2달간 유지했어요.

그리고 장치를 떼고, 마무리 했어요. 불과 5달만에 교정으로 불편감 없이 환자분의 문제를 해결해드렸던 케이스였어요.

환자분도 진료에 만족하셨는지 이렇게 리뷰달아주셨더라고요. 더 좋은 진료로 보답하겠다는 생각이 들었습니다. 감사합니다.



댓글