앞니 보철과 에어라인 교정을 같이 해봤어요.
- sanghadent
- 2025년 12월 1일
- 1분 분량

위 앞니 보철을 새로 하고 싶다고 환자 분이 오셨어요.



위 앞니 보철을 새로 하고 싶다고 오셨지만, 위 앞니 보철의 모양이 이상했던 이유는 아래 치아의 배열에 맞춰서 하다보니 위 앞니 보철의 모양이 이상했다고 판단해서, 아래 치아의 에어라인 교정과 위 앞니 재보철의 필요성을 설명드렸어요. 갑자기 교정을 하라고 하니, 환자분이 3개월 뒤에 웨딩촬영이 있는데, 그 때까지 끝낼 수가 있냐고 물어보셨지만, 아마도 가능할것 같다고 해서 치료에 들어갔어요.

바로 위 앞니 보철을 뜯어내고, 임시치아를 해주었고, 아래에는 사진과 같이 에어라인 교정의 대표장치인 미니튜브 장치를 붙였어요.



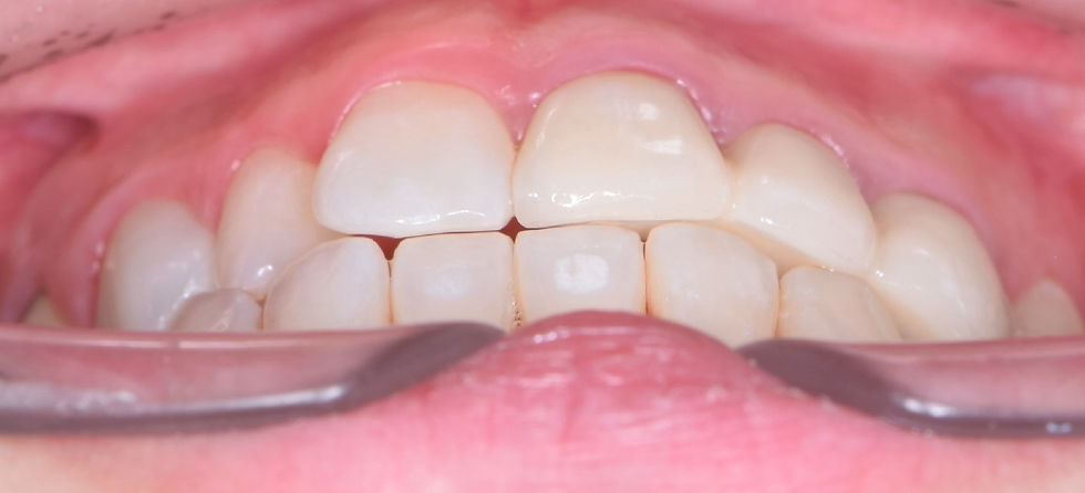
정확히 3개월 뒤, 틀어져있던 아래 앞니의 배열이 잡혀서 교정을 끝냈고, 위의 임시보철은 심미적인 지르코니아 크라운으로 재보철을 해서 치료를 끝낼 수 있었어요. 웨딩촬영전까지 교정이 끝나지 않으면 어떡하지?라는 고민을 단 3개월만에 해결할 수 있어서 정말 보람이 많았던 케이스였습니다.



댓글